园艺学报 ›› 2022, Vol. 49 ›› Issue (4): 723-738.doi: 10.16420/j.issn.0513-353x.2021-0141
李莎莎1, 玉赛赛1, 傅雨恒1, 骆强伟2, 徐炎1, 王跃进1,**(
)
收稿日期:2021-11-15
修回日期:2022-01-18
出版日期:2022-04-25
发布日期:2022-04-24
通讯作者:
王跃进
E-mail:wangyj@nwsuaf.edu.cn
LI Shasha1, YU Saisai1, FU Yuheng1, LUO Qiangwei2, XU Yan1, WANG Yuejin1,**(
)
Received:2021-11-15
Revised:2022-01-18
Online:2022-04-25
Published:2022-04-24
Contact:
WANG Yuejin
E-mail:wangyj@nwsuaf.edu.cn
摘要:
以种子败育型无核葡萄为母本,中国抗寒野生种或者欧山杂交的品种为父本,通过人工大田杂交后利用胚挽救技术和分子标记选育无核抗寒葡萄新种质。在配置的14个杂交组合中,共获得杂种1 021株,其中‘红宝石无核’ב北冰红’成苗率最高(18.13%),获得634株。以‘左优红’为父本时,‘火焰无核’适宜作母本;‘北冰红’和‘雪兰红’为父本时,‘红宝石无核’适宜作母本;‘北醇’为父本时,‘昆香无核’适宜作母本。通过无核分子标记SCF27和无核探针GSLP1初步筛选出132个无核株系。通过抗寒分子标记S241-717初步筛选出190个抗寒株系。在筛选的这些杂种后代中,同时具有无核和抗寒性状的株系59个。利用分子标记在‘红宝石无核’ב北冰红’和‘红宝石无核’ב雪兰红’杂种后代中筛选抗寒株系,低温处理后进行定量PCR分析,发现在抗寒与不抗寒株系中抗寒相关基因CBF1、COR27和ERD15表达存在差异,抗寒株系的抗寒基因表达明显。
中图分类号:
李莎莎, 玉赛赛, 傅雨恒, 骆强伟, 徐炎, 王跃进. 利用胚挽救与分子标记选育葡萄无核抗寒新种质[J]. 园艺学报, 2022, 49(4): 723-738.
LI Shasha, YU Saisai, FU Yuheng, LUO Qiangwei, XU Yan, WANG Yuejin. The Embryo Rescue and Molecular Markers are Used to Breed New Seedless,Cold-Resistant Grapes[J]. Acta Horticulturae Sinica, 2022, 49(4): 723-738.
| 亲本 Parent | 名称 Name | 特性 Characteristic | 来源 Origin |
|---|---|---|---|
| 母本 Female | 火焰无核 Flame Seedless | 无核、红色、早熟 Stenospermocarpic,red berries,early maturing | (Cardinal × Thompson Seedless)× [(Red Malaga × Tifafini Ahmer)×(Muscat Alexandria × Thompson Seedless)] |
| 昆香无核 Kunxiang Seedless | 无核、金黄色、早熟、玫瑰香味 Stenospermocarpic,yellow berries,early maturing,aroma of muscat | Queen of Vineyard × 康耐诺 Queen of Vineyard × Kangnainuo | |
| 赫什无核 Heshi Seedless | 无核、绿色 Stenospermocarpic,green berries | 欧亚种 Vitis. vinifera | |
| 红无籽露 Sultanina Rose | 无核、红色 Stenospermocarpic,red berries | 欧亚种 V. vinifera | |
| 红宝石无核 Ruby Seedless | 无核、红色、大粒、中熟 Stenospermocarpic,red berries,big berry,mid-maturing | Emperor × Q25-6 | |
| 克瑞森无核 Crimson Seedless | 无核、红色、大粒、晚熟 Stenospermocarpic,red berries,big berry,late maturing | C11-160 × G4-74 | |
| 无核紫 Black Monukka | 无核、紫黑色 Stenospermocarpic,black | 欧亚种 V. vinifera | |
| 波尔莱特 Perlette | 无核、中熟、绿色 Stenospermocarpic,green berries,mid-maturing | Queen of Vineyard × Scolokertek Kiralynoie | |
| 父本 Male | 左优红 Zuoyouhong | 有核、蓝黑色、抗寒、抗病、抗旱 Seeded,blue and black,cold-resistance,disease- resistance,drought-resistance | 79-26-58 × 74-1-326 |
| 北冰红 Beibinghong | 有核、抗寒、抗病 Seeded,cold-resistance,disease-resistance | 左优红 × 86-4-53 Zuoyouhong × 86-4-53 | |
| 雪兰红 Xuelanhong | 有核、蓝黑色、抗寒 Seeded,blue and black,cold-resistance | 左优红 × 北冰红 Zuoyouhong × Beibinghong | |
| 北醇 Beichun | 有核、紫黑色、抗寒 Seeded,black,late maturing,cold-resistance | 玫瑰香 × 野生山葡萄 Muscat Hamburgh × Vitis amurensis |
表1 葡萄杂交父母本的生物学特性
Table 1 The characteristics of grapes of male and female parents in hybridizations
| 亲本 Parent | 名称 Name | 特性 Characteristic | 来源 Origin |
|---|---|---|---|
| 母本 Female | 火焰无核 Flame Seedless | 无核、红色、早熟 Stenospermocarpic,red berries,early maturing | (Cardinal × Thompson Seedless)× [(Red Malaga × Tifafini Ahmer)×(Muscat Alexandria × Thompson Seedless)] |
| 昆香无核 Kunxiang Seedless | 无核、金黄色、早熟、玫瑰香味 Stenospermocarpic,yellow berries,early maturing,aroma of muscat | Queen of Vineyard × 康耐诺 Queen of Vineyard × Kangnainuo | |
| 赫什无核 Heshi Seedless | 无核、绿色 Stenospermocarpic,green berries | 欧亚种 Vitis. vinifera | |
| 红无籽露 Sultanina Rose | 无核、红色 Stenospermocarpic,red berries | 欧亚种 V. vinifera | |
| 红宝石无核 Ruby Seedless | 无核、红色、大粒、中熟 Stenospermocarpic,red berries,big berry,mid-maturing | Emperor × Q25-6 | |
| 克瑞森无核 Crimson Seedless | 无核、红色、大粒、晚熟 Stenospermocarpic,red berries,big berry,late maturing | C11-160 × G4-74 | |
| 无核紫 Black Monukka | 无核、紫黑色 Stenospermocarpic,black | 欧亚种 V. vinifera | |
| 波尔莱特 Perlette | 无核、中熟、绿色 Stenospermocarpic,green berries,mid-maturing | Queen of Vineyard × Scolokertek Kiralynoie | |
| 父本 Male | 左优红 Zuoyouhong | 有核、蓝黑色、抗寒、抗病、抗旱 Seeded,blue and black,cold-resistance,disease- resistance,drought-resistance | 79-26-58 × 74-1-326 |
| 北冰红 Beibinghong | 有核、抗寒、抗病 Seeded,cold-resistance,disease-resistance | 左优红 × 86-4-53 Zuoyouhong × 86-4-53 | |
| 雪兰红 Xuelanhong | 有核、蓝黑色、抗寒 Seeded,blue and black,cold-resistance | 左优红 × 北冰红 Zuoyouhong × Beibinghong | |
| 北醇 Beichun | 有核、紫黑色、抗寒 Seeded,black,late maturing,cold-resistance | 玫瑰香 × 野生山葡萄 Muscat Hamburgh × Vitis amurensis |
| 用途 Usage | 基因 Gene | 引物序列(5′-3′) Primers sequence | 参考文献 Reference |
|---|---|---|---|
| 分子标记 Molecular marker | GSLP1 | CCAGTTCGCCCGTAAATG | Wang et al., |
| SCF27 | F:CAGGTGGGAGTAGTGGAATG;R:CAGGTGGGAGTAAGATTTGT | Mejía & Hinrichsen, | |
| S241 | TGACGTCCGT | 张剑侠 等, | |
| qRT-PCR | VvCOR27 | F:GAGGGTTGTGGGAGTGCG;R:AACTGTGCTTCTCTGTCCAT | 范高韬, |
| VaCBF1 | F:GGAGACACGACACCCAATATAC;R:GGAAAGGTGCCTAGCCATATC | 王法微 等, | |
| VaERD15 | F:TACAGTCCTCTCCCTGGTTT;R:GAGGGCAGGATCGTCAATATC | 赵凯, | |
| VvActin | F:CTATCCTTCGTCTTGACCTTGCTG;R:AGTGGTGAACATGTAACCCCTCTC | 丁兰, |
表2 本研究中所用引物序列信息
Table 2 The information of primers’ sequence in this study
| 用途 Usage | 基因 Gene | 引物序列(5′-3′) Primers sequence | 参考文献 Reference |
|---|---|---|---|
| 分子标记 Molecular marker | GSLP1 | CCAGTTCGCCCGTAAATG | Wang et al., |
| SCF27 | F:CAGGTGGGAGTAGTGGAATG;R:CAGGTGGGAGTAAGATTTGT | Mejía & Hinrichsen, | |
| S241 | TGACGTCCGT | 张剑侠 等, | |
| qRT-PCR | VvCOR27 | F:GAGGGTTGTGGGAGTGCG;R:AACTGTGCTTCTCTGTCCAT | 范高韬, |
| VaCBF1 | F:GGAGACACGACACCCAATATAC;R:GGAAAGGTGCCTAGCCATATC | 王法微 等, | |
| VaERD15 | F:TACAGTCCTCTCCCTGGTTT;R:GAGGGCAGGATCGTCAATATC | 赵凯, | |
| VvActin | F:CTATCCTTCGTCTTGACCTTGCTG;R:AGTGGTGAACATGTAACCCCTCTC | 丁兰, |
| 杂交组合 Cross | 果粒数 No. of berries | 接种胚 珠数 No. of cultured ovules | 发育胚数 No. of embryos developed | 胚发育 率/% Per of embryo developed | 成苗数 No. of plants development | 成苗率/% Per of plants development |
|---|---|---|---|---|---|---|
| 火焰无核 × 左优红 Flame Seedless × Zuoyouhong | 567 | 831 | 156 | 18.77 | 49 | 5.90 |
| 火焰无核 × 北冰红 Flame Seedless × Beibinghong | 974 | 1 392 | 251 | 18.03 | 79 | 5.68 |
| 昆香无核 × 左优红 Kunxiang Seedless × Zuoyouhong | 812 | 451 | 114 | 25.28 | 22 | 4.88 |
| 昆香无核 × 雪兰红 Kunxiang Seedless × Xuelanhong | 700 | 357 | 107 | 29.97 | 32 | 8.96 |
| 昆香无核 × 北醇 Kunxiang Seedless × Beichun | 651 | 455 | 128 | 28.13 | 39 | 8.57 |
| 赫什无核 × 北冰红 Heshi Seedless × Beibinghong | 424 | 273 | 43 | 15.75 | 12 | 4.40 |
| 赫什无核 × 雪兰红 Heshi Seedless × Xuelanhong | 611 | 485 | 82 | 16.91 | 23 | 4.74 |
| 红无籽露 × 雪兰红 Sultanina Rose × Xuelanhong | 743 | 1 106 | 10 | 0.90 | 3 | 0.27 |
| 红宝石无核 × 北冰红 Ruby Seedless × Beibinghong | 1 870 | 3 497 | 1 559 | 44.58 | 634 | 18.13 |
| 红宝石无核 × 雪兰红 Ruby Seedless × Xuelanhong | 320 | 446 | 224 | 50.22 | 51 | 11.43 |
| 克瑞森无核 × 北冰红 Crimson Seedless × Beibinghong | 931 | 791 | 26 | 3.29 | 6 | 0.76 |
| 无核紫 × 北冰红 Black Monukka × Beibinghong | 735 | 569 | 33 | 5.80 | 7 | 1.23 |
| 波尔莱特 × 北醇 Perlette × Beichun | 1 030 | 1 029 | 226 | 21.96 | 61 | 5.93 |
| 红无籽露 × 红宝石无核Sultanina Rose × Ruby Seedless | 1 264 | 1 056 | 21 | 1.99 | 3 | 0.28 |
表3 无核抗寒葡萄胚挽救育种结果
Table 3 Results of embryo rescue for breeding of cold-resistant seedless grapevines
| 杂交组合 Cross | 果粒数 No. of berries | 接种胚 珠数 No. of cultured ovules | 发育胚数 No. of embryos developed | 胚发育 率/% Per of embryo developed | 成苗数 No. of plants development | 成苗率/% Per of plants development |
|---|---|---|---|---|---|---|
| 火焰无核 × 左优红 Flame Seedless × Zuoyouhong | 567 | 831 | 156 | 18.77 | 49 | 5.90 |
| 火焰无核 × 北冰红 Flame Seedless × Beibinghong | 974 | 1 392 | 251 | 18.03 | 79 | 5.68 |
| 昆香无核 × 左优红 Kunxiang Seedless × Zuoyouhong | 812 | 451 | 114 | 25.28 | 22 | 4.88 |
| 昆香无核 × 雪兰红 Kunxiang Seedless × Xuelanhong | 700 | 357 | 107 | 29.97 | 32 | 8.96 |
| 昆香无核 × 北醇 Kunxiang Seedless × Beichun | 651 | 455 | 128 | 28.13 | 39 | 8.57 |
| 赫什无核 × 北冰红 Heshi Seedless × Beibinghong | 424 | 273 | 43 | 15.75 | 12 | 4.40 |
| 赫什无核 × 雪兰红 Heshi Seedless × Xuelanhong | 611 | 485 | 82 | 16.91 | 23 | 4.74 |
| 红无籽露 × 雪兰红 Sultanina Rose × Xuelanhong | 743 | 1 106 | 10 | 0.90 | 3 | 0.27 |
| 红宝石无核 × 北冰红 Ruby Seedless × Beibinghong | 1 870 | 3 497 | 1 559 | 44.58 | 634 | 18.13 |
| 红宝石无核 × 雪兰红 Ruby Seedless × Xuelanhong | 320 | 446 | 224 | 50.22 | 51 | 11.43 |
| 克瑞森无核 × 北冰红 Crimson Seedless × Beibinghong | 931 | 791 | 26 | 3.29 | 6 | 0.76 |
| 无核紫 × 北冰红 Black Monukka × Beibinghong | 735 | 569 | 33 | 5.80 | 7 | 1.23 |
| 波尔莱特 × 北醇 Perlette × Beichun | 1 030 | 1 029 | 226 | 21.96 | 61 | 5.93 |
| 红无籽露 × 红宝石无核Sultanina Rose × Ruby Seedless | 1 264 | 1 056 | 21 | 1.99 | 3 | 0.28 |
图1 无核抗寒葡萄胚挽救过程 A:去雄后花穗;B:杂交果实;C:胚珠离体培养;D:胚珠纵切;E:发育的子叶型胚;F:胚萌发成苗;G:温室炼苗成活的杂种后代;H:定植大田。
Fig. 1 The program of embryo rescue to breed seedless,cold-resistant grapes A:The inflorescence after emasculation;B:Hybrid berries;C:Ovules cultured in vitro;D:Longitudinal section of an ovule;E:The developed cotyledon embryo;F:The embryo germinated to plantlet;G:Acclimatization of hybrid plants;H:Transplanting plants to field.
图2 葡萄无核GSLP1-569(A)、SCF27-2000(B)和抗寒S241-717(C)分子标记在杂交亲本中的检测结果 M:2 000 Plus marker;1:‘火焰无核’;2:‘昆香无核’;3:‘克瑞森无核’;4:‘红宝石无核’;5:‘红无籽露’;6:‘波尔莱特’;7:‘无核紫’;8:‘赫什无核’;9:‘北醇’;10:‘左优红’;11:‘北冰红’;12:‘雪兰红’。“+”表示扩增出特异性条带,“-”表示未扩增出特异性条带。
Fig. 2 Amplification results of GSLP1-569(A)、SCF27-2000(B)and S241-717(C)molecular markers linked to the seedless and cold-resistant traits in hybrid parents M:2 000 Plus marker;1:‘Flame Seedless’;2:‘Kunxiang Seedless’;3:‘Crimson Seedless’;4:‘Ruby Seedless’;5:‘Sultanina Rose’;6:‘Perlette’;7:‘Black Monukka’;8:‘Heshi Seedless’;9:‘Beichun’;10:‘Zuoyouhong’;11:‘Beibinghong’;12:‘Xuelanhong’.“+”means a specific band was amplified;“-”means that no specific band was amplified.
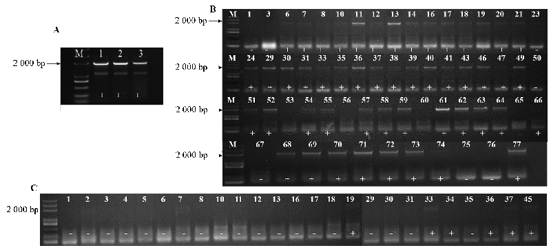
图3 SCF27-2000在3个组合的杂交后代中的扩增结果 M:2 000 Plus marker;A:‘红无籽露’ב红宝石无核’3个杂种后代;B:‘红宝石无核’ב北冰红’61个杂种后代;C:‘红宝石无核’ב雪兰红’25个杂种后代。
Fig. 3 Amplification results of SCF27-2000 marker in hybrid progeny of three different cross-combinations M:2 000 Plus marker;A:There were 3 hybrid progeny detected in‘Sultanina Rose’בRuby Seedless’;B:There were 61 hybrid progeny detected in‘Ruby Seedless’ב Beibinghong’;C:There were 25 hybrid progeny detected in‘Ruby Seedless’בZuoyouhong’.
图4 GSLP1-569和S241-717在‘火焰无核’ב左优红’(A、B)49个和‘火焰无核’ב北冰红’(C、D)75个杂种后代的扩增结果
Fig. 4 Amplification results of GSLP1-569 and S241-717 in 49 and 75 hybrid progeny of‘Flame Seedless’בZuoyouhong’(A,B)and‘Flame Seedless’בBeibinghong’(C,D) M:2 000 Plus marker.
图5 S241-717在5个杂交组合的杂种后代中的扩增结果 M:2 000 Plus marker;A:‘红无籽露’ב雪兰红’的3个杂种后代;B:‘昆香无核’ב左优红’的20个杂种后代;C:‘无核紫’ב北冰红’的7个杂种后代;D:‘红宝石无核’ב雪兰红’的33个杂种后代;E:‘红宝石无核’ב北冰红’的172个杂种后代。
Fig. 5 Amplification results of S241-717 in hybrid progeny of five hybrid combinations M:2 000 Plus marker. A:There were three hybrid progeny detected in‘Sultanina Rose’בXuelanhong’;B:There were 20 hybrid progeny detected in‘Kunxiang Seedless’בZuoyouhong’;C:There were seven hybrid progeny detected in‘Black Monukka’בBeibinghong’;D:There were 33 hybrid progeny detected in‘Ruby Seedless’בXuelanhong’;E:There were 172 hybrid progeny detected in‘Ruby Seedless’בBeibinghong’.
| 杂交组合 Cross | 检测株数 No. of detected lines | 无核株 No. of seedless lines | 抗寒株 No. of cold- resistant lines | 无核、抗寒 Seedless and cold-resistant traits |
|---|---|---|---|---|
| 火焰无核 × 北冰红 Flame Seedless × Beibinghong | 75 | 45 | 47 | 26 |
| 火焰无核 × 左优红 Flame Seedless × Zuoyouhong | 49 | 28 | 21 | 11 |
| 昆香无核 × 左优红 Kunxiang Seedless × Zuoyouhong | 20 | — | 8 | — |
| 红无籽露 × 雪兰红 Sultanina Rose × Xuelanhong | 3 | — | 2 | — |
| 红无籽露 × 红宝石无核 Sultanina Rose × Ruby Seedless | 3 | 3 | — | — |
| 红宝石无核 × 北冰红 Ruby Seedless × Beibinghong | 206 | 50 | 95 | 20 |
| 红宝石无核 × 雪兰红 Ruby Seedless × Xuelanhong | 33 | 6 | 13 | 2 |
| 无核紫 × 北冰红 Black Monukka × Beibinghong | 7 | — | 4 | — |
| ∑ | 396 | 132 | 190 | 59 |
表4 分子标记对杂种后代无核性状与抗寒性状的检测结果
Table 4 The results of seedless and cold-resistant traits in hybrid progeny as detected by molecular markers
| 杂交组合 Cross | 检测株数 No. of detected lines | 无核株 No. of seedless lines | 抗寒株 No. of cold- resistant lines | 无核、抗寒 Seedless and cold-resistant traits |
|---|---|---|---|---|
| 火焰无核 × 北冰红 Flame Seedless × Beibinghong | 75 | 45 | 47 | 26 |
| 火焰无核 × 左优红 Flame Seedless × Zuoyouhong | 49 | 28 | 21 | 11 |
| 昆香无核 × 左优红 Kunxiang Seedless × Zuoyouhong | 20 | — | 8 | — |
| 红无籽露 × 雪兰红 Sultanina Rose × Xuelanhong | 3 | — | 2 | — |
| 红无籽露 × 红宝石无核 Sultanina Rose × Ruby Seedless | 3 | 3 | — | — |
| 红宝石无核 × 北冰红 Ruby Seedless × Beibinghong | 206 | 50 | 95 | 20 |
| 红宝石无核 × 雪兰红 Ruby Seedless × Xuelanhong | 33 | 6 | 13 | 2 |
| 无核紫 × 北冰红 Black Monukka × Beibinghong | 7 | — | 4 | — |
| ∑ | 396 | 132 | 190 | 59 |
| [1] | Agüero C B, Riquelme C, Tizio R. 1995. Embryo rescue from seedless grapevines(Vitis vinifera L.)treated with growth retardants. Vitis, 34 (2):73-76. |
| [2] |
Aalto M K, Heleniusa E, Kariolaa T, Pennanen V, Heino P, Horak H, Puzorjova I, Kollist H, Palva E T. 2012. ERD15-an attenuator of plant ABA responses and stomatal aperture. Plant Science, 182 (1):19-28.
doi: 10.1016/j.plantsci.2011.08.009 URL |
| [3] |
Amaral A L D, Oliveira P R D D, Czermainski A B C, Camargo U A. 2001. Embryo growth stages on plant obtention from crosses between seedless grape parents. Revista Brasileira de Fruticultura, 23 (3):647-651.
doi: 10.1590/S0100-29452001000300041 URL |
| [4] | Bharathy P V, Karibasappa G S. 2003. Influence of pre-bloom sprays of benzyladenine on in vitro recovery of hybrid embryos from crosses of Thompson Seedless and 8 seeded varieties of grape(Vitis spp.). Vitis, 42 (4):199-202. |
| [5] | Cain D. 2010. New diversity in table grapes:a commercial perspective. Journal of the American Pomological Society, 64 (2):83-85. |
| [6] | Cain D W, Emershad R L. 1983. In-ovulo embryo culture and seedling development of seeded and seedless grapes(Vitis vinifera L.). Vitis, 22:9-14. |
| [7] |
Chang D, Zhen Z, Yang Q, Ren J, Huang J, Wang B, Lu H, Cai B, Tao J. 2013. VaCBF1 from Vitis amurensis associated with cold acclimation and cold tolerance. Acta Physiologiae Plantarum, 35 (10):2975-2984.
doi: 10.1007/s11738-013-1329-3 URL |
| [8] | Ding Lan. 2019. Analysis of cold resistance function of VaSAP15 gene in Vitis amurensis [M. D. Dissertation]. Yangling:Northwest A & F University. (in Chinese) |
| 丁兰. 2019. 中国野生山葡萄VaSAP15基因的抗寒功能分析[硕士论文]. 杨凌:西北农林科技大学. | |
| [9] | Ebadi A, Sarikhani H, Zamani Z, Babalar M. 2004. Effect of male parent and application of boric acid on embryo rescue in some seedless grapevine(Vitis vinifera)cultivars. Acta Horticulturae,(640):255-260. |
| [10] |
Emershad R L, Ramming D W, Serpe M D. 1989. In ovulo embryo development and plant formation from stenospermic genotypes of Vitis vinifera. American Journal of Botany, 76 (3):397-402.
doi: 10.1002/j.1537-2197.1989.tb11327.x URL |
| [11] | Fan Gao-tao, Sun Xiao-ming, Ren Xiao-die, Li Shao-hua, Xin Hai-ping, Wang Wan-jun. 2015. Cloning and cold resistance function of COR27 gene in grape. Plant Science Journal, 33 (3):346-354. (in Chinese) |
| 范高韬, 孙小明, 任小蝶, 李绍华, 辛海平, 王万军. 2015. 葡萄COR27基因的克隆与抗寒功能研究. 植物科学学报, 33 (3):346-354. | |
| [12] | Gribaudo I, Zanetti R, Botta R, Vallania R, Eynard I. 1993. In ovulo embryo culture of stenospermocarpic grapes. Vitis, 32:9-14. |
| [13] | Guo Yin-shan, Guo Xiu-wu, Zhang Hai-e, Li Yi-hui, Li Cheng-xiang. 2006. Studies on the factors affecting embryo rescue of the crossed progeny between diploid and tetraploid grape cultivars. Journal of Fruit Science, 23 (1):115-117. (in Chinese) |
| 郭印山, 郭修武, 张海娥, 李轶晖, 李成祥. 2006. 葡萄二倍体和四倍体杂交胚挽救的影响因素. 果树学报, 23 (1):115-117. | |
| [14] | He Pu-chao, Chao Wu-ji. 1982. Studies on the cold hardiness of eight species of Vitis L. growing wild in China. Acta Horticulturae Sinica, 9 (3):17-21. (in Chinese) |
| 贺普超, 晁无疾. 1982. 我国葡萄属野生种质资源的抗寒性分析. 园艺学报, 9 (3):17-21. | |
| [15] |
Ji W, Wang Y. 2013. Breeding for seedless grapes using Chinese wild Vitis spp. II. In vitro embryo rescue and plant development. Journal of the Science of Food and Agricultural, 93 (15):3870-3875.
doi: 10.1002/jsfa.6342 URL |
| [16] | Jia Shan-shan, Luo Qiang-wei, Li Sha-sha, Wang Yue-jin. 2020. Optimization of embryo rescue technique and production of potential seedless grape germplasm with rosy aroma. Scientia Agricultura Sinica, 53 (16):3344-3355. (in Chinese) |
| 贾姗姗, 骆强伟, 李莎莎, 王跃进. 2020. 葡萄胚挽救技术优化及无核和玫瑰香味新种质创制. 中国农业科学, 53 (16):3344-3355. | |
| [17] |
Kariola T, Brader G, Helenius E, Li J, Heino P, Palva E T. 2006. Early responsive to dehydration 15,a negative regulator of abscisic acid responses in Arabidopsis. Plant Physiology, 142 (4):1559-1573.
pmid: 17056758 |
| [18] |
Lahogue F, This P, Bouquet A. 1998. Identification of a codominant scar marker linked to the seedlessness character in grapevine. Theoretical and Applied Genetics, 97 (5-6):950-959.
doi: 10.1007/s001220050976 URL |
| [19] |
Ledbetter C A, Shonnard C B. 1990. Improved seed development and germination of stenospermic grapes by plant growth regulators. Journal of Horticultural Science, 65 (3):269-274.
doi: 10.1080/00221589.1990.11516056 URL |
| [20] | Li G, Ji W, Wang G, Zhang J, Wang Y. 2014. An improved embryo-rescue protocol for hybrid progeny from seedless Vitis vinifera grapes × wild Chinese Vitis species. In Vitro Cellular & Development Biology - Plant, 50 (1):110-120. |
| [21] | Li Jin-yue, Wang Fei, Wang Yue-jin, Wei Yan-xia. 2008. Study on the freezing resistance in embryo rescue hybrids of seedless and seeded grapes. Acta Agriculturae Boreali-occidentalis Sinica, 17 (6):113-118. (in Chinese) |
| 李金月, 王飞, 王跃进, 魏艳霞. 2008. 无核葡萄与有核葡萄胚挽救杂交后代的抗寒性研究. 西北农业学报, 17 (6):113-118. | |
| [22] |
Li S, Li Z, Zhao Y, Zhao J, Luo Q, Wang Y. 2020a. New disease-resistant,seedless grapes are developed using embryo rescue and molecular markers. 3 Biotech, 10 (1):4.
doi: 10.1007/s13205-019-1993-0 URL |
| [23] | Li S, Liu K, Yu S, Jia S, Chen S, Fu Y, Sun F, Luo Q, Wang Y. 2020b. The process of embryo abortion of stenospermocarpic grape and it develops into plantlet in vitro using embryo rescue. Plant Cell,Tissue & Organ Culture, 143 (2):389-409. |
| [24] | Li Sheng-chen, Wen Li-zhu, Zhang Feng-qin, Luo Fang-mei, Yang Mei-rong, Zhang Ying-zhu, Huang De-pan. 1983. The new cold and disease-resistant cultivar- Beichun. Chinese Bulletin of Botany,(2):30-32. (in Chinese) |
| 黎盛臣, 文丽珠, 张凤琴, 罗方梅, 杨美容, 张映祝, 黄德藩. 1983. 抗寒抗病葡萄新品种-北醇. 植物学通报,(2):30-32. | |
| [25] | Li T, Li Z, Yin X, Guo Y, Wang Y, Xu Y. 2018. Improved in vitro Vitis vinifera L. embryo development of F1progeny of‘Delight’בRuby Seedless’ using putrescine and marker-assisted selection. In Vitro Cellular & Developmental Biology-Plant, 54 (3):291-301. |
| [26] | Li Z, Li T, Wang Y, Xu Y. 2015. Breeding new seedless grapes using in ovulo embryo rescue and marker-assisted selection. In Vitro Cellular & Developmental Biology-Plant, 51 (3):241-248. |
| [27] | Liu Chong-huai, Jiang Jian-fu, Fan Xiu-cai, Zhang Ying. 2014. The utilization of Chinese wild grape species in production and breeding. Journal of Plant Genetic Resources, 15 (4):720-727. (in Chinese) |
| 刘崇怀, 姜建福, 樊秀彩, 张颖. 2014. 中国野生葡萄资源在生产和育种中利用的概况. 植物遗传资源学报, 15 (4):720-727. | |
| [28] |
Liu Q, Zhang J, Wang Y, Yu D, Xia H. 2016. Breeding for cold-resistant,seedless grapes from Chinese wild Vitis amurensis using embryo rescue. New Zealand Journal of Crop and Horticultural Science, 44 (2):136-151.
doi: 10.1080/01140671.2016.1153489 URL |
| [29] | Liu Qiao, Zhang Jian-xia, Yu Dong-dong, Wang Yue-jin. 2015. Influence of 6-BA on embryo rescue of seedless grape with cold resistance. Journal of Fruit Science, 32 (5):903-908. (in Chinese) |
| 刘巧, 张剑侠, 于冬冬, 王跃进. 2015. 6-BA对抗寒无核葡萄胚挽救的影响. 果树学报, 32 (5):903-908. | |
| [30] |
Liu S M, Sykes S R, Clingeleffer P R, Liu S M, Sykes S R, Clingeleffer P R. 2003. Improved in ovulo embryo culture for stenospermocarpic grapes (Vitis vinifera L.). Australian Journal of Agricultural Research, 54 (9):869-876.
doi: 10.1071/AR03053 URL |
| [31] | Mejía N, Hinrichsen P. 2003. A new,highly assertive scar marker potentially useful to assist selection for seedlessness in table grape breeding. Acta Horticultura, 603:559-564. |
| [32] |
Mejía N, Soto B, Guerrero M, Casanueva X, Houel C, Miccono Mde los Á, Ramos R, Cunff L L, Boursiquot J M, Hinrichsen P, Adam-Blondon A. 2011. Molecular,genetic and transcriptional evidence for a role of VvAGL11 in stenospermocarpic seedlessness in grapevine. BMC Plant Biology, 11 (1):57.
doi: 10.1186/1471-2229-11-57 URL |
| [33] | Niu Ru-xuan, Zhang Jiang-xia, Wang Yue-jin, Zhai Huan, Zhao Kai. 2012. Embryo rescue of seedless grape with disease and cold resistance. Journal of Fruit Science, 29 (5):825-829. (in Chinese) |
| 牛茹萱, 张剑侠, 王跃进, 翟焕, 赵凯. 2012. 抗病抗寒无核葡萄胚挽救研究. 果树学报, 29 (5):825-829. | |
| [34] | Notsuka K, Tsuru T, Shiraishi M. 2001. Seedless-seedless grape hybridization via in-ovluo embryo culture. Journal of the Japanese Society for Horticultural Science, 70 (1):7-15. |
| [35] | Pan Xue-jun. 2005. Innovating in the technique system of embryo rescue of stenospermocarpic grape and breeding new cultivars of both seedless and disease-resistance traits[Ph.D.Dissertation]. Yangling:Northwest A & F University. (in Chinese) |
| 潘学军. 2005. 无核抗病葡萄胚挽救技术体系优化及新品系培育[博士论文]. 杨凌: 西北农林科技大学. | |
| [36] | Pellerone F I, Edwards K J, Thomas M R. 2001. Grapevine microsatellite repeats:isolation,characterisation and use for genotyping of grape germplasm from Southern Italy. Vitis, 40 (4):179-186. |
| [37] |
Pommer C V, Ramming D W, Emershad R L. 1995. Influence of grape genotype,ripening season,seed trace size,and culture date on in ovule embryo development and plant formation. Bragantia, 54 (2):237-249.
doi: 10.1590/S0006-87051995000200002 URL |
| [38] | Ponce M T, Aguero C, Gregorimt M T, Tizio R. 2000. Factors affecting development of stenospermic grape Vitis vinifera L. embryo cultured in vitro. Acta Horticulturae, 528:667-671. |
| [39] | Ramming D W, Emershad R L. 1982. In ovulo embryo culture of seeded and seedless Vitis vnifera L. HortScience, 17:576. |
| [40] |
Ramming D W, Emershad R L, Tarailn R. 2000. A stenospermocarpic,seedless Vitis vinifera × Vitis rotundifolia hybrid developed by embryo rescue. HortScience, 35 (4):732-734.
doi: 10.21273/HORTSCI.35.4.732 URL |
| [41] | Song Run-gang, Lu Wen-peng, Guo Tai-jun, Liu Jing-kuan, Shen Yu-jie, Lin Xing-gui, Li Xiao-hong, Guo Zhen-gui. 2005. A new dry-red brewing grape variety‘Zuoyouhong’. Acta Horticulturae Sinica, 32 (4):757. (in Chinese) |
| 宋润刚, 路文鹏, 郭太君, 刘景宽, 沈育杰, 林兴桂, 李晓红, 郭振贵. 2005. 酿造干红葡萄酒新品种‘左优红’. 园艺学报, 32 (4):757. | |
| [42] | Song Run-gang, Lu Wen-peng, Shen Yu-jie, Jin Ren-hao, Li Xiao-hong, Guo Zhen-gui, Liu Jing-kuan, Lin Xing-gui. 2008. A new ice-red wine grape variety-Beibinghong. Sino-Overseas Grapevine & Wine,(4):19-22. (in Chinese) |
| 宋润刚, 路文鹏, 沈育杰, 金仁浩, 李晓红, 郭振贵, 刘景宽, 林兴桂. 2008. 冰红葡萄酒新品种“北冰红”的选育研究. 中外葡萄与葡萄酒,(4):19-22. | |
| [43] | Song Run-gang, Lu Wen-peng, Zhang Qing-tian, Li Xiao-hong, Yang Yi-ming, Fan Shu-tian, Ai-Jun, Shen Yu-jie, Lin Xing-gui. 2012. A new cultivar of Vitis amurensis‘Xuelanhong’for dry-red brewing. Acta Horticulturae Sinica, 39 (11):2312-2314. (in Chinese) |
| 宋润刚, 路文鹏, 张庆田, 李晓红, 杨义明, 范书田, 艾军, 沈育杰, 林兴桂. 2012. 酿酒葡萄新品种‘雪兰红’. 园艺学报, 39 (11):2312-2314. | |
| [44] | Spiegel-Roy P, Sahar N, Baron J, Lavi U. 1985. In vitro culture and plant formation from grape cultivars with abortive ovules and seeds. Journal of the American Society for Horticultural Science, 110 (1):109-112. |
| [45] | Tian L, Wang Y. 2008. Seedless grape breeding for disease resistance by using embryo rescue. Vitis, 47 (1):15-19. |
| [46] |
Tian L, Wang Y, Niu L, Tang D. 2008. Breeding of disease-resistant seedless grapes using Chinese wild Vitis spp. I. in vitro embryo rescue and plant development. Scientia Horticulturae, 117 (2):136-141.
doi: 10.1016/j.scienta.2008.03.024 URL |
| [47] | Wang Fa-wei, Liu Yang, Wu Xue-yan, Li Xiao-wei, Li Hai-yan. 2013. Cloning and expression analysis of VaCBF1 transcription factor gene in grape. Journal of Northwest A & F University(Natural Science Edition), 41 (12):86-92. (in Chinese) |
| 王法微, 刘洋, 吴学彦, 李晓薇, 李海燕. 2013. 山葡萄VaCBF1转录因子基因的克隆与表达分析. 西北农林科技大学学报(自然科学版), 41 (12):86-92. | |
| [48] | Wang Y J, Lamikanra O, Lu J, Ramming D. 1996. Identification of genetic marker linked to seedless genes in grapes using RAPD. Acta University Agriculture Boreali-Occidentalis, 24 (5):12-20,21. |
| [49] | Wang Yue-jin, Lamikanra O. 2002. Application and synthesis on the DNA probe for detecting seedless genes in grapevine. Journal of Northwest A&F University(Natural Science Edition), 30 (3):42-44. (in Chinese) |
| 王跃进, Lamikanra O. 2002. 检测葡萄无核基因DNA探针的合成与应用. 西北农林科技大学学报(自然科学版), 30 (3):42-44. | |
| [50] | Zhang C, Fan X C, Liu C H, Fang J G. 2021. Anatomical berry characteristics during the development of grape berries with different shapes Horticultural Plant Journal, 7 (4):295-306. |
| [51] | Zhang Hong-ming, Meng Xin-fa, Zhang Lu-sheng. 1990. A study on ovule development of seedless grapes and its early culture in vitro Ⅰ. the effect of plant growth regulators on ovule culture in vitro. Acta Agricultura Universitatis Pekinensis, 16 (3):277-283. (in Chinese) |
| 张宏明, 孟新法, 张潞生. 1990. 无核葡萄胚珠发育及早期离体培养的研究Ⅰ. 激素对胚珠离体培养的影响. 北京农业大学学报, 16 (3):277-283. | |
| [52] | Zhang Jian-xia, Niu Ru-xuan. 2013. The present situation and prospect of embryo rescue technique research in seedless grape breeding. Acta Horticulturae Sinica, 40 (9):1645-1655. (in Chinese) |
| 张剑侠, 牛茹萱. 2013. 无核葡萄胚挽救技术的研究现状与展望. 园艺学报, 40 (9):1645-1655. | |
| [53] | Zhang Jian-xia, Xiong Yan, Wang Yue-jin, Zhu Zi-guo. 2010. RAPD markers linked to the hardiness gene in Chinese wild Vitis and their sequence analysis. Chinese Agricultural Science Bulletin, 26 (10):30-37. (in Chinese) |
| 张剑侠, 熊燕, 王跃进, 朱自果. 2010. 中国野生葡萄抗寒基因的RAPD标记及其序列分析. 中国农学通报, 26 (10):30-37. | |
| [54] | Zhao Kai. 2013. Study on the embryo rescue of seedless grape with cold resistance and the functional analysis of VaERD[M. D. Dissertation]. Yangling: Northwest A & F University. (in Chinese) |
| 赵凯. 2013. 抗寒无核葡萄胚挽救及VaERD基因功能研究[硕士论文]. 杨凌: 西北农林科技大学. | |
| [55] | Zhao Kai, Liu Qiao, Zhang Jian-xia, Niu Ru-xuan, Li Gui-rong, Wang Yue-jin. 2013. Impacting factors on embryo rescue of seedless grape with cold resistant. Northern Horticulture,(17):11-15. (in Chinese) |
| 赵凯, 刘巧, 张剑侠, 牛茹萱, 李桂荣, 王跃进. 2013. 抗寒无核葡萄胚挽救影响因素的研究. 北方园艺,(17):11-15. | |
| [56] | Zhao Ya-nan, Luo Qiang-wei, Wang Yue-jin. 2018. Breeding for grape germplasm involved in seedlessness with cold-resistant using embryo rescue. Scientia Agricultura Sinica, 51 (21):4119-4130. (in Chinese) |
| 赵雅楠, 骆强伟, 王跃进. 2018. 利用胚挽救技术创制无核抗寒葡萄新种质. 中国农业科学, 51 (21):4119-4130. | |
| [57] | Zhao Ying. 2018. Evaluation for cold tolerance in germplasms of Vitis amurensis and study on mechanisms of cold tolerance[Ph. D. Dissertation]. Beijing: Chinese Academy of Agricultural Sciences. (in Chinese) |
| 赵滢. 2018. 山葡萄种质抗寒性评价及抗寒机制研究[博士论文]. 北京: 中国农业科学院. | |
| [58] | Zhu P, Gu B, Li P, Shu X, Zhang X, Zhang J. 2020. New cold-resistant,seedless grapes developed using embryo rescue and marker-assisted selection. Plant Cell,Tissue & Organ Culture, 140 (3):551-562. |
| [1] | 王晓晨, 聂子页, 刘先菊, 段 伟, 范培格, 梁振昌, . 脱落酸对‘京香玉’葡萄果实单萜物质合成的影响[J]. 园艺学报, 2023, 50(2): 237-249. |
| [2] | 崔建, 钟雄辉, 刘泽慈, 陈登辉, 李海龙, 韩睿, 乐祥庆, 康俊根, 王超. 结球甘蓝染色体片段替换系构建[J]. 园艺学报, 2023, 50(1): 65-78. |
| [3] | 刘艺平, 倪梦辉, 吴芳芳, 刘红利, 贺丹, 孔德政. 荷花花器官性状与SSR标记的关联分析[J]. 园艺学报, 2023, 50(1): 103-115. |
| [4] | 董星光, 曹玉芬, 张 莹, 田路明, 霍宏亮, 齐 丹, 徐家玉, 刘 超, 王立东. 抗寒脆肉梨新品种‘玉翠香’[J]. 园艺学报, 2022, 49(S2): 5-6. |
| [5] | 杨兴旺, 王海波, 王莹莹, 王小龙, 王志强, 刘培培, 刘万春, 王孝娣. 中熟抗寒桃新品种‘中农甘爽’[J]. 园艺学报, 2022, 49(S2): 15-16. |
| [6] | 杨兴旺, 王海波, 王莹莹, 张艺灿, 王宝亮, 刘培培, 史祥宾, 刘万春, 王孝娣. 中熟抗寒桃新品种‘中农白干’[J]. 园艺学报, 2022, 49(S2): 17-18. |
| [7] | 杨兴旺, 刘凤之, 王海波, 王莹莹, 王志强, 史祥宾, 冀晓昊, 刘万春, 王孝娣. 中熟抗寒桃新品种‘中农寒水蜜’[J]. 园艺学报, 2022, 49(S2): 19-20. |
| [8] | 杨兴旺, 刘凤之, 王海波, 王莹莹, 张艺灿, 李 鹏, 王小龙, 刘万春, 王孝娣. 晚熟抗寒桃新品种‘中农秋香’[J]. 园艺学报, 2022, 49(S2): 21-22. |
| [9] | 王宝亮, 刘凤之, 冀晓昊, 王孝娣, 史祥宾, 张艺灿, 李 鹏, 王海波. 早熟鲜食葡萄新品种‘华葡早玉’[J]. 园艺学报, 2022, 49(S2): 33-34. |
| [10] | 王宝亮, 王海波, 冀晓昊, 王孝娣, 史祥宾, 王志强, 王小龙, 刘凤之. 中熟鲜食葡萄新品种‘华葡黄玉’[J]. 园艺学报, 2022, 49(S2): 35-36. |
| [11] | 牛早柱, 赵艳卓, 陈 展, 宣立锋, 牛帅科, 魏建国, 褚凤杰, 杨丽丽. 晚熟无核葡萄新品种‘紫龙珠’[J]. 园艺学报, 2022, 49(S2): 37-38. |
| [12] | 师校欣, 杜国强, 杨丽丽, 乔月莲, 黄成立, 王素月, 赵跃欣, 魏晓慧, 王 莉, 齐向丽. 晚熟无核葡萄新品种‘红峰无核’[J]. 园艺学报, 2022, 49(S2): 39-40. |
| [13] | 吴月燕, 陈天池, 王立如, 韩善琪, 付 涛. 鲜食葡萄新品种‘甬早红’[J]. 园艺学报, 2022, 49(S2): 41-42. |
| [14] | 曲彦婷, 熊 燕, 刘志洋, 韩 辉, 陈 菲, 李 黎, 张 兴, . 玉簪新品种‘自然绿’[J]. 园艺学报, 2022, 49(S2): 197-198. |
| [15] | 樊金萍, 戴静琪, 江翼帆, 闫凯丽, 张金柱, 杨 涛, 车代弟. 百合新品种‘冰粉皇后’[J]. 园艺学报, 2022, 49(S2): 205-206. |
| 阅读次数 | ||||||
|
全文 |
|
|||||
|
摘要 |
|
|||||
版权所有 © 2012 《园艺学报》编辑部 京ICP备10030308号-2 国际联网备案号 11010802023439
编辑部地址: 北京市海淀区中关村南大街12号中国农业科学院蔬菜花卉研究所 邮编: 100081
电话: 010-82109523 E-Mail: yuanyixuebao@126.com
技术支持:北京玛格泰克科技发展有限公司